Здоровые и красивые зубы играют важную роль в нашей жизни. Они помогают нам улыбаться, говорить и кушать. Однако, из-за различных факторов, таких как травмы, кариес, старение или стоматологические проблемы, зубы могут потерять свою естественную форму, цвет и функциональность. В таких случаях реставрация зубов https://odistom.ru/uslugi/lechenie-zubov/restavratsiya-zubov/ становится необходимой. В этой статье мы рассмотрим, для чего необходима реставрация зубов и какие преимущества она может предоставить.

Для чего необходимо отреставрировать зубы?
1. Реставрация зубов позволяет восстановить функциональность зубной системы. Если у вас есть поврежденные, сломанные или потерянные зубы, реставрация может помочь восстановить их форму и функцию. Например, с помощью коронок или мостов можно восстановить отсутствующие зубы и восстановить нормальную жевательную функцию.
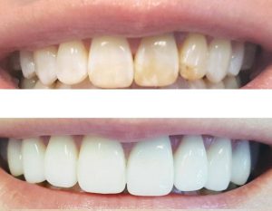
2. Реставрация зубов также позволяет улучшить эстетику улыбки. Если у вас есть проблемы с цветом, формой или выравниванием зубов, стоматологические процедуры, такие как отбеливание, виниры или композитные реставрации, могут помочь улучшить внешний вид зубов и сделать улыбку более привлекательной.
3. Когда у вас красивая и здоровая улыбка, вы чувствуете себя увереннее и комфортнее в общении с другими людьми. Реставрация зубов может значительно повысить вашу самооценку и уверенность, что положительно сказывается на вашей личной и профессиональной жизни.
4. Если зубы повреждены или имеют стоматологические проблемы, такие как кариес или заболевания десен, реставрация может помочь предотвратить дальнейшее развитие этих проблем. Реставрационные процедуры укрепляют и защищают зубы, предотвращая дальнейшее разрушение и повреждение.
5. Реставрация зубов позволяет сохранить естественные зубы, вместо их удаления. Это важно, так как естественные зубы выполняют ряд важных функций, включая жевание пищи и поддержание здоровой структуры челюстей и лица. Реставрация помогает сохранить зубы и предотвращает необходимость в протезировании.
В конечном счете, реставрация зубов не только улучшает внешний вид и функциональность зубной системы, но и оказывает положительное влияние на самооценку и уверенность. Важно обратиться к опытному стоматологу, чтобы получить качественную реставрацию зубов, которая будет соответствовать вашим потребностям и желаниям. Регулярные посещения стоматолога и поддержание хорошей устной гигиены также являются важными для поддержания здоровья зубов и долговечности реставраций.












